Mario Bautista sufrió una factura tras su pelea contra Aarón Mercury, la cual perdió por nocaut en menos de 3 minutos.
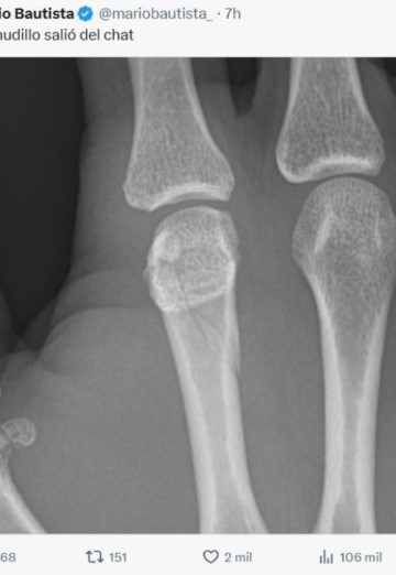
Y es que después del evento Mario Bautista compartió una imagen de una radiografía de su mano derecha en la que mostró que había sufrido una fractura.
En la imagen se podía ver una fractura en su dedo, una lesión que es muy común entre los boxeadores debido a que esta lesión se presenta debajo de la cabeza del hueso, por lo que es llamada por los profesionales como la “fractura del boxeador”.
Asimismo, el influencer compartió un mensaje para sus seguidores, pues pese a perder destacó el proceso que ha llevado debido a que ha sido un reto de preparación física y mental.

PUEDES LEER: Anahí celebra 14 años junto a Manuel Velasco con emotivo mensaje
“Gracias por todos sus mensajes de verdad, esto también es parte de la vida y toca vivirlo a veces se gana, a veces se pierde el chiste es disfrutarlo”, expresó en redes sociales.