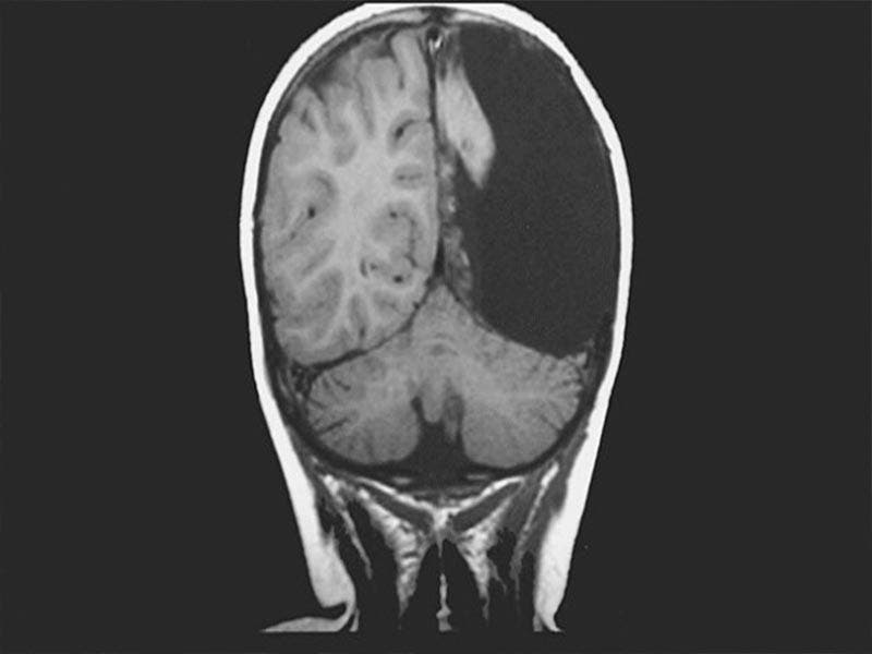
Hombre vive solo con la mitad de su cerebro.- Médicos en Rusia descubrieron a través de una tomografía de la cabeza de ex soldado; que el hombre ha vivido más de 60 años solo con la mitad de su cerebro.
El exsoldado ingresó al hospital debido a que tenía trastornos circulatorios, sin embargo después de un análisis los especialistas se dieron cuenta que el hombre tenía un “agujero negro” en su hemisferio izquierdo.
Los médicos se sorprendieron al ver que la mitad del cerebro del paciente tenía un agujero negro, sin embargo el exsoldado nunca tuvo problemas motores ni visuales por lo que siempre llevó una vida normal sin la mitad de su cerebro.
Según medios locales el hombre cursó sus estudios superiores y sirvió en el Ejército e incluso formó una familia, pero nunca se dio cuenta de los problemas que tenía en el cerebro esto debido a que su condición no tuvo alguna anomalía.
Инженер из Подмосковья всю жизнь обходился без половины мозгаhttps://t.co/IAPT6pFC0R pic.twitter.com/MaUkhHrh0n
— Новости обо всём ☕ (@newsaeru) July 12, 2019
Te puede interesar: Terremoto en California abrió grieta que se ve desde el espacio
Descubren a un hombre con solo la mitad del cerebro

Hombre en Rusia vive solo con la mitad de su cerebro
El hombre fue trasladado a un centro médico, debido a que comenzó a tener problemas para mover sus brazos y piernas.
El diagnóstico indicó que sufrió un ataque isquémico transitorio,por lo cual temporalmente tuvo problemas de flujo sanguíneo, sin embargo los médicos lo dieron de alta debido a que cuando el ataque terminó las funciones de sus extremidades se restablecieron.
Luego de ser dado de alta el hombre se negó a hacerse exámenes médicos, debido a que afirmó que siempre ha vivido con un agujero negro en la mitad de su cerebro. “Viví una vida normal, nada me ha molestado y ahora no necesito “fama”, aseguró el paciente.
Los médicos indicaron que el caso del exsoldado es único, debido a que se trata de una falla congénita, por lo que ahora “si un hemisferio está dañado o no desarrollado, el segundo asume completamente las funciones de ambos”.
Te puede interesar: Bebé muere en incendio mientras su mamá baila en un antro
(Con información de RTnoticias)