Categorías: Virales

Llegó con fuertes dolores de cabeza al hospital y esto fue lo que pasó

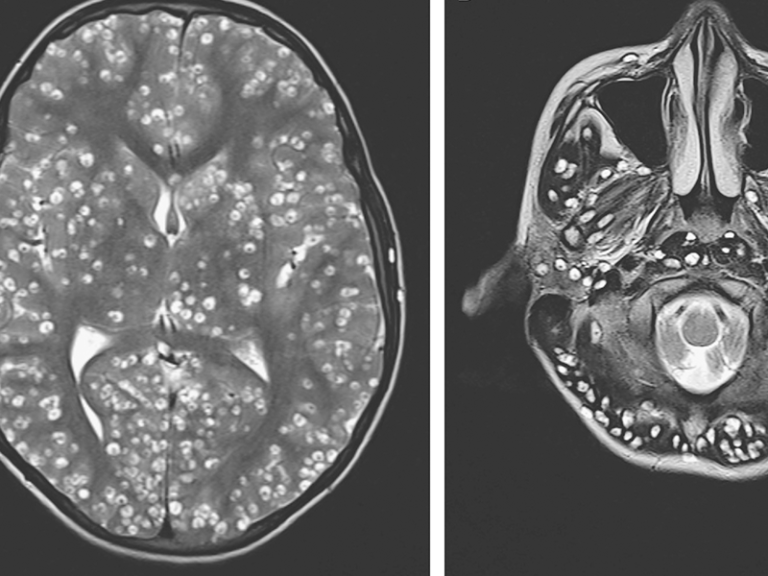
Llegó con fuertes dolores de cabeza al hospital y esto fue lo que pasó- Un joven Indú de 18 años acudió al hospital con dolores de cabeza inusuales y convulsiones, al revisarlo los doctores descubrieron que tenía larvas en el cerebro.

Los padres del joven declararon que había estado sufriendo dolor en la ingle una semana antes de lo ocurrido.

Neurocisticercosis.

El joven había presentado síntomas una semana antes de la tragedia

Inmediatamente le realizaron una resonancia magnética y exámenes de ultrasonido, detectaron que en la corteza cerebral y el tronco encefálico el joven albergaba larvas, provocadas por un parásito porcino.

La enfermedad diagnosticada por los médicos fue neurocisticercosis, que ataca inmediatamente al cerebro.

También te puede interesar: Murió tras dolor de cabeza en Yucatán

Por no tomar las medidas de higiene necesarias con los alimentos

La razón de estos organismos estuvieran en él, se debe a que, el muchacho ingirió alimentos que no se encontraban desinfectados o estaban en estado de descomposición por lo que introdujo a su cuerpo huevos microscópicos que generaron el crecimiento de estos parásitos.

El paciente fue tratado con sustancias como corticoides estándares y medicamentos  lo suficientemente fuertes para evitar  ataques epilépticos.

Lamentablemente no pudieron frenar la infección y el joven de 18 años, falleció dos semanas después.

Los doctores que llevaron el caso del chico ha sido publicado en la revista The New England Journal of Medicine.

También te puede interesar: VIDEO: Albañil de Yucatán muere tras caerle un registro de concreto en la cabeza

Las enfermedades que se generan desde infecciones leves hasta padecimientos mortales

Según la Organización Mundial de la Salud (OMS), esta enfermedad afecta el sistema nervioso y los seres humanos la contraen después de consumir alimentos poco cocinados, especialmente de cerdo, si consumen agua contaminada con huevos de tenia (que ha entrado en contacto con excrementos de alguien que tenía la infección) o por prácticas de higiene deficientes.

Fuente EXCELSIOR

Carolina

Editora de Denuncia Ciudadana para Turquesa News.

Compartir
Publicado por
Carolina

Esta web usa cookies.